Health Tips- आपके की यह आदतें बनती हैं मुंह के कैंसर की वजह, जानिए इसके संकेत और बचाव
- bySagar
- 01 Dec, 2024
By Jitendra Jangid- दोस्तो आज के समय में कैंसर एक वैश्विक बीमारी के रूप में उभरी हैं, जिससे हर साल करोड़ो लोग अपनी जान गवाते हैं, कैंसर कई प्रकार के होते है, जिनमें मुंह का कैंसर एक गंभीर बीमारी हैं जो अक्सर रोके जा सकने वाली आदतों से जुड़ा होता है। यह लापरवाही और अस्वास्थ्यकर जीवनशैली विकल्पों के संयोजन के कारण हो सकता है। आज हम इस लेख के माध्यम से आपको मुंह का कैंसर होने का कारण बताएंगे-

धूम्रपान
धूम्रपान मुँह के कैंसर के प्रमुख कारणों में से एक है। धूम्रपान करने वालों को मुँह के कैंसर के विकास का काफी अधिक जोखिम होता है। पुरुष विशेष रूप से अधिक संवेदनशील होते हैं, अध्ययनों से पता चलता है कि मुँह का कैंसर महिलाओं की तुलना में पुरुषों में दो से तीन गुना अधिक आम है।
तम्बाकू का सेवन
तम्बाकू का सेवन, चाहे चबाने वाले तम्बाकू, गुटखा या पान मसाला के माध्यम से, मुँह के कैंसर में एक प्रमुख योगदानकर्ता है। तम्बाकू में नाइट्रोसामाइन, पोलोनियम, फॉर्मेल्डिहाइड, कैडमियम और लेड जैसे हानिकारक रसायन होते हैं, जो सभी कार्सिनोजेन्स के रूप में जाने जाते हैं।

अत्यधिक शराब का सेवन
अधिक मात्रा में शराब पीने से मुंह के कैंसर का खतरा काफी बढ़ जाता है। अध्ययनों से पता चलता है कि अत्यधिक शराब का सेवन मुंह के कैंसर के विकास की संभावना को 34% तक बढ़ा सकता है।
मौखिक स्वच्छता की उपेक्षा
खराब मौखिक स्वच्छता मुंह के कैंसर के विकास में योगदान दे सकती है। नियमित रूप से ब्रश न करने, फ़्लॉस न करने या मुंह को ठीक से साफ़ न करने से बैक्टीरिया और गंदगी जमा हो जाती है, जिससे संक्रमण और कैंसर का खतरा बढ़ जाता है।
होंठों पर सनस्क्रीन का इस्तेमाल न करना
सूर्य से हानिकारक यूवी किरणों के संपर्क में आने से भी मुंह के कैंसर का खतरा बढ़ सकता है, खासकर होठों पर। लंबे समय तक धूप में रहने से मुंह के आस-पास की त्वचा टैन हो सकती है या उसका रंग फीका पड़ सकता है, जिससे कैंसर होने की संभावना बढ़ जाती है।
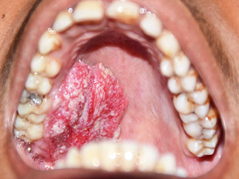
मुंह के कैंसर के शुरुआती लक्ष
मुंह के अंदर या होठों पर घाव जिनसे खून निकल सकता है
मुंह के अंदर खुरदरे पैच
मुंह, चेहरे या गर्दन में बिना किसी कारण के सुन्नपन, दर्द या कोमलता
चबाने, निगलने, बोलने या जबड़े और जीभ को हिलाने में कठिनाई
अचानक, बिना किसी कारण के वजन कम होना
कान में लगातार दर्द
सांसों की लगातार बदबू
खुद को बचाने के लिए निवारक उपाय

मुंह के कैंसर के जोखिम को कम करने के लिए आप कई जीवनशैली में बदलाव कर सकते हैं:
धूम्रपान छोड़ें और तंबाकू से बचें: मुंह के कैंसर के जोखिम को कम करने के लिए अपनी दिनचर्या से तंबाकू का सेवन बंद करें।
शराब का सेवन सीमित करें: संयम ही सबसे महत्वपूर्ण है। शराब का सेवन कम करने से मुँह के कैंसर के विकसित होने की संभावना कम हो जाती है।
अच्छी मौखिक स्वच्छता बनाए रखें: अपने दाँतों को दिन में दो बार ब्रश करें और अपने मुँह को साफ और हानिकारक बैक्टीरिया से मुक्त रखने के लिए नियमित रूप से फ़्लॉस करें।
स्वस्थ आहार लें: मौसमी सब्ज़ियाँ खाएँ और अपनी प्रतिरक्षा प्रणाली को मज़बूत करने और कैंसर के जोखिम को कम करने के लिए संतुलित आहार लें।
अपने होठों को धूप से बचाएँ: अपने होठों पर हमेशा सनस्क्रीन लगाएँ और यूवी विकिरण से खुद को बचाने के लिए बाहर समय बिताते समय टोपी पहनें।






