Health Tips- क्या आपको दांतों के कीड़ों ने कर रखा हैं परेशान, तो अपनाएं ये उपाय
- bySagar
- 27 Jan, 2025
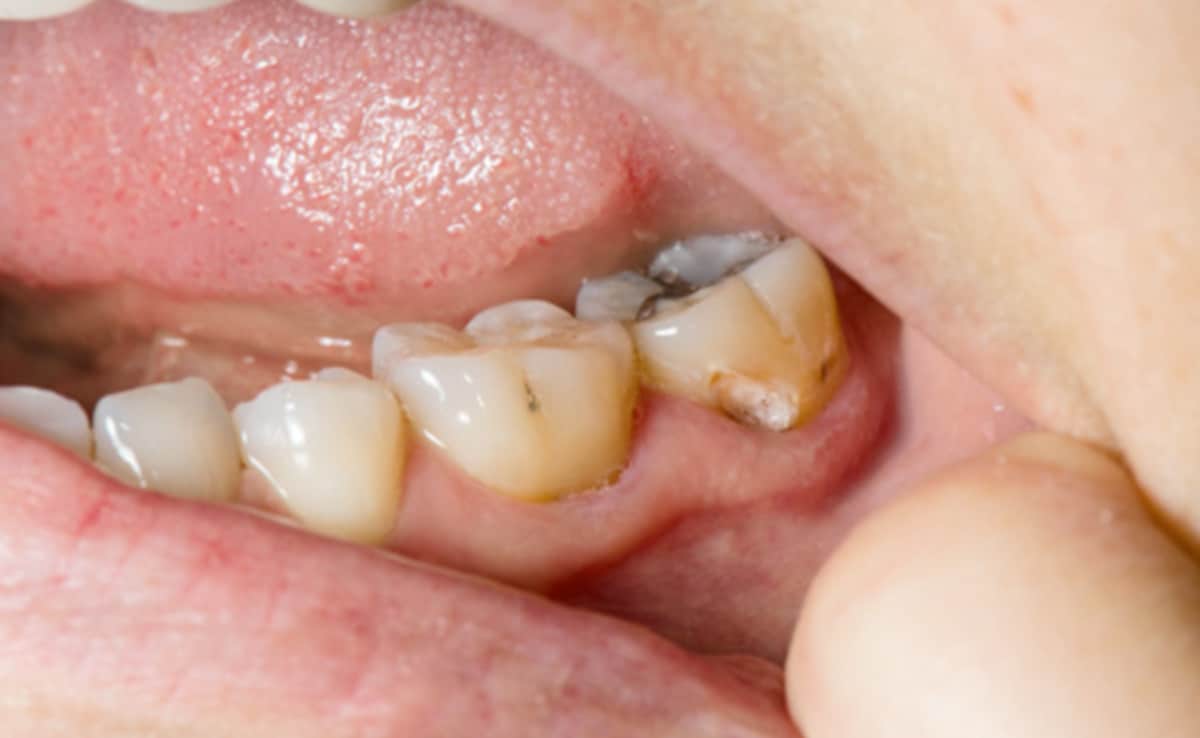
By Jitendra Jangid- दोस्तो इंसान बड़ा हो या छोटा, बच्चा हो या बुढ़ा उसे मीठा खाना पसंद होता हैं, जैसे मिठाई, बर्फी, चॉकलेट आदि। ऐसे में कई लोगो को बहुत ज्यादा मीठा खाने का शौक होता हैं। जो कई स्वास्थ्य परेशानियों का शिकार हो सकते हैं। ऐसी ही एक परेशानी हैं दांतों में कीड़ें लगना। जिससे असुविधा और अन्य मौखिक स्वास्थ्य समस्याएँ हो सकती हैं। अगर आप दांतों में सड़न से जूझ रहे हैं, तो चिंता न करें - ऐसे प्राकृतिक उपचार हैं जो आपको समस्या को ठीक करने में मदद कर सकते हैं, आइए जानते हैं इनके बारे में

गर्म नमक के पानी से गरारे करें: दर्द को कम करने और संक्रमण को कम करने का सबसे आसान तरीका गर्म नमक के पानी से गरारे करना है। यह सूजन को कम करने और हानिकारक बैक्टीरिया को मारने में मदद करता है।

अमरूद के पत्ते: अमरूद के पत्तों को उबालकर उसका पानी पीना एक और पारंपरिक उपाय है जो कैविटी से जुड़ी समस्याओं को कम करने और मौखिक स्वास्थ्य को बढ़ावा देने में मदद कर सकता है।
सरसों के तेल में हल्दी और नमक: आप सरसों के तेल में हल्दी और नमक मिला सकते हैं और इसे नरम ब्रश का उपयोग करके प्रभावित दांत पर धीरे से रगड़ सकते हैं। इस उपाय में जीवाणुरोधी गुण होते हैं जो उपचार में मदद कर सकते हैं।

हींग का पानी: हींग मिला हुआ पानी पीना एक और प्राकृतिक विकल्प है जिसका इस्तेमाल सदियों से दांतों की समस्याओं, जैसे कि कैविटी के इलाज के लिए किया जाता रहा है।
Disclaimer: This content has been sourced and edited from [ZeeNewshindi].




