Teeth Care Tips- क्या दांत के कीड़ों ने परेशान कर रखा है, जानिए इसे निकालने का रामबाण तरीका
- byJitendra
- 01 Aug, 2025
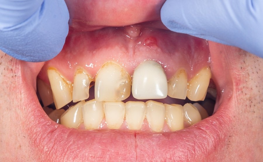
By Jitendra Jangid- दोस्तो आज अधिकांश युवा दांतों की समस्या से जूझ रहे हैं, जैसे पीले दांत, कैविटी, दांतों में कीड़े लगना एक आम समस्या बन गई हैं, चाहे बच्चे ज़्यादा मीठा खाते हों या बड़े लोग मुँह की सफ़ाई की अनदेखी करते हों, "दांतों के कीड़ों" की समस्या सभी उम्र के लोगों को प्रभावित करती है, अगर आप भी इस समस्या से ग्रसित हैं तो आपको इससे छुटकारा पाने का तरीका बताएंगे-
दांतों की सड़न का क्या कारण है?
दांतों की सड़न कई कारणों से हो सकती है:
खराब मुँह सफ़ाई
मुँह में जीवाणु संक्रमण
मीठे खाद्य पदार्थों का अत्यधिक सेवन

अंतर्निहित स्वास्थ्य समस्याएँ
अगर आप घर पर दांतों की सड़न को ठीक करने का एक आसान, प्राकृतिक उपाय ढूंढ रहे हैं, तो लौंग — जो कि रसोई में एक आम सामग्री है — आपके काम आ सकती है।
लौंग दांतों की सड़न में कैसे मदद करती है
लौंग में भरपूर मात्रा में जीवाणुरोधी और दर्द निवारक गुण होते हैं, जो इसे दांतों के दर्द को कम करने और मुँह के बैक्टीरिया से लड़ने में प्रभावी बनाते हैं।
दांतों के कीड़ों के लिए लौंग के इस्तेमाल के 3 तरीके
लौंग का पेस्ट लगाना
पिसी हुई लौंग को पानी या नारियल तेल की कुछ बूंदों के साथ मिलाकर पेस्ट बना लें।
इस पेस्ट को सीधे कैविटी प्रभावित जगह पर लगाएँ।
इसे कुछ मिनट के लिए लगा रहने दें, फिर साफ पानी से धो लें।
सर्वोत्तम परिणामों के लिए इसे दिन में एक या दो बार दोहराएँ।
साबुत लौंग चबाना
एक साबुत लौंग लें और उसे कैविटी प्रभावित दांत पर रखें।

इसे धीरे-धीरे चबाएँ या कुछ मिनट के लिए वहीं दबाएँ।
यह दर्द कम करने और बैक्टीरिया की गतिविधि को नियंत्रित करने में मदद कर सकता है।
लौंग के तेल का इस्तेमाल
एक साफ रुई को लौंग के तेल में डुबोएँ।
प्रभावित जगह पर हल्के हाथों से लगाएँ और कुछ मिनट के लिए छोड़ दें।
बाद में पानी से अच्छी तरह धो लें।
यह तरीका दर्द से तुरंत राहत देता है और संक्रमण को कम करता है।
Disclaimer: This content has been sourced and edited from [ndtvHindi]



